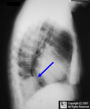
"Spine Sign" Due to LLL Atelectasis
A lateral view of the chest shows an area of increased density (blue arrow) above the left hemidiaphragm which silhouettes the left hemidiaphragm. The atelectatic lower lobe is producing increased density of the lower thoracic spine called the spine sign.
